江森誠人(火・水曜日)、村橋靖崇(水・第2、4金曜日)、清水淳也(火・第1、3、5木曜日)が担当しています。
骨軟部腫瘍とは
骨に生じる骨腫瘍と、筋肉・血管・神経などの骨や臓器以外に生じる軟部腫瘍の二つを合わせた総称です。良性腫瘍から悪性腫瘍まで幅広い腫瘍が含まれてます。特に、悪性腫瘍である肉腫(サルコーマ)は、組織型に基づいた化学療法や手術法を計画する必要があります。当科では多数の診療科とともに肉腫の治療にあたることで治療成績の向上に努めています。
検査・治療
治療前に画像検査と病理検査が必須です。病巣の悪性度と広がりの尺度である病期分類を行い治療法が決定されます。病理医、放射線診断医とカンファレンスを毎週行い、迅速で適切な診断を行っています。
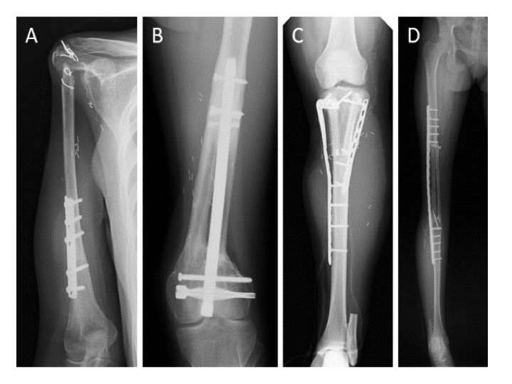
手術療法
腫瘍を露出させずに正常組織で包むような腫瘍切除を行います。これを広範切除といいます。正常組織の切除に伴い機能障害の危険性がありますが、再発を起こさない範囲で、できるだけ機能を温存するよう努めています。低悪性度肉腫はステージIであり、手術療法のみを行います。遠隔転移のない高悪性度肉腫はステージII,IIIであり、手術療法と必要に応じて化学療法を行っています。
化学療法
腫瘍内科と小児科で周術期や進行期の化学療法を行っています。肉腫は化学療法に対する感受性が低いことが多く、すべての患者さんに行うわけではありません。ステージII,IIIの周術期の化学療法では、高悪性度、大きさが5cm以上、深部発生の場合に行っています。ステージIVではアドリアマイシンという抗腫瘍薬による化学療法を行っています。
診療実績
当科における原発性悪性骨軟部腫瘍に対する手術件数は下記の通りです。
当科における原発性悪性骨軟部腫瘍に対する治療成績は下記の通りです。
特色
・マイクロサージャリーを用いた自家組織再建を積極的に行っています。
当院救急部の高橋信行助教と千葉充将助教とともに、腫瘍切除後の巨大骨欠損に対して、多くの血管柄付き腓骨移植(vascularized fibular grafts: VFGs)を用いた再建を行っています。VFGsは一度癒合すれば、人工関節と異なり無菌性のゆるみや感染などの合併症はほとんどなく、機能は生涯保たれます。生涯続く再建を目指し、VFGsを再建法として使用しています。
Emori M, et al. Vascularised fibula grafts for reconstruction of extremity bone defects after resection of bone and soft tissue tumours: A single-institutional study of 49 patients. Bone Joint J. 2017
・呼吸器外科と共同で、肺転移巣の切除や多くの胸壁腫瘍切除・再建を行っています。
肉腫による転移性肺腫瘍に対しても呼吸器外科と共同して積極的に手術を行っており、肉腫の予後向上を目指しています。また悪性胸壁軟部腫瘍に対しても積極的に手術を行っています。
Shimizu J, et al. Pulmonary metastasectomy is associated with prolonged survival among patients with bone and soft tissue sarcoma. Mol Clin Oncol. 2020 May;12(5):429-434.
Nakahashi N, et al. Treatment outcome of chest wall soft tissue sarcomas: Analysis of prognostic factors. J Surg Oncol. 2019 Dec;120(7):1235-1240.
肉腫による転移性肺腫瘍に対しても呼吸器外科と共同して積極的に手術を行っており、肉腫の予後向上を目指しています。また悪性胸壁軟部腫瘍に対しても積極的に手術を行っています。
Shimizu J, et al. Pulmonary metastasectomy is associated with prolonged survival among patients with bone and soft tissue sarcoma. Mol Clin Oncol. 2020 May;12(5):429-434.
Nakahashi N, et al. Treatment outcome of chest wall soft tissue sarcomas: Analysis of prognostic factors. J Surg Oncol. 2019 Dec;120(7):1235-1240.
基礎研究
大学第一病理、第二病理と共同で肉腫に対する研究を行っています。
・骨軟部肉腫に対する新規TCR-T /CAR-T細胞療法の確立
・肉腫における新規融合遺伝子の探索
RNAseqを利用して、治療標的にもなりうる新規融合遺伝子の同定を行っています。
濱田修人(代表)、江森誠人(分担)、塚原智英(分担).
「骨軟部腫瘍における転移診断バイオマーカーの同定と治療応用可能な融合遺伝子の探索」
平成30年度 文部科学省科学研究費補助金(基盤研究C)
・ショットガンプロテオミクスを用いた新しい肉腫に対する診断・治療標的の探索
ホルマリン固定パラフィン包埋(FFPE)組織標本から腫瘍部分のみを切り出すことでショットガンプロテオーム解析を可能する手技を確立しました。新たな治療法のターゲットとなるタンパク質分子の同定を行い、骨軟部腫瘍に対する新たな治療法確立を目指しています。
江森誠人(代表)、高澤啓(分担)、村橋靖崇(分担)、髙田弘一(分担)
「ショットガンプロテオミクスを用いた神経線維腫の悪性化機序解明と治療への応用」
2020年度 文部科学省科学研究費補助金(基盤研究C)
・骨軟部肉腫に対する新規TCR-T /CAR-T細胞療法の確立
・肉腫における新規融合遺伝子の探索
RNAseqを利用して、治療標的にもなりうる新規融合遺伝子の同定を行っています。
濱田修人(代表)、江森誠人(分担)、塚原智英(分担).
「骨軟部腫瘍における転移診断バイオマーカーの同定と治療応用可能な融合遺伝子の探索」
平成30年度 文部科学省科学研究費補助金(基盤研究C)
・ショットガンプロテオミクスを用いた新しい肉腫に対する診断・治療標的の探索
ホルマリン固定パラフィン包埋(FFPE)組織標本から腫瘍部分のみを切り出すことでショットガンプロテオーム解析を可能する手技を確立しました。新たな治療法のターゲットとなるタンパク質分子の同定を行い、骨軟部腫瘍に対する新たな治療法確立を目指しています。
江森誠人(代表)、高澤啓(分担)、村橋靖崇(分担)、髙田弘一(分担)
「ショットガンプロテオミクスを用いた神経線維腫の悪性化機序解明と治療への応用」
2020年度 文部科学省科学研究費補助金(基盤研究C)